我们通常认为拇外翻(大脚骨)大多发生在中老年妇女身上,然而我们忽略了这一群人,她们年轻美丽,却由于遗传或其他因素患有双足拇外翻,无法穿漂亮的高跟鞋,她们甚至不敢追求美。
年轻姑娘鼓足勇气,到必威官方首页官网betway微创矫形
25岁的娇娇(化名)是一名医疗工作者,10年前无诱因下出现双足拇外翻畸形,当时无疼痛,后畸形逐渐加重,出现疼痛。虽然穿宽松鞋子、休息后好转,但是由于工作原因大部分时间需要站立或者行走,所以娇娇下决心做矫形手术。她也害怕疼,手术的疼痛是轻微的、短暂的,而且手术后她就能正常生活,大大方方穿漂亮的鞋子了,勇敢地追求美了。
娇娇多方打听,得知必威官方首页官网betway足踝外科可以做微创矫形手术,石荣剑副院长是这方面的专家。于是,她来到我院足踝外科门诊,找到了石院长,一番了解之后迅速办理了入院手续。
次日,石荣剑副院长、曹广超主任、王岩岩医生手术团队为患者进行了双足拇外翻截骨矫形术(微创)。首先行左足拇外翻截骨矫形术,取第1跖趾关节背外侧纵形切口长约0.5cm,钝性分离至骨面,使用微创专用勾刀进行拇收肌松解术,内翻第1趾见拇外翻角度较前减小,仍大于正常;将跖骨头向外侧、足底推移,并进行内固定,透视确认内固定位置、长度良好,拇外翻角度恢复正常。同法处理右足拇外翻畸形,手术顺利。

术前外形

术前外形和切口设计两个小切口,一个0.5cm,一个不到1cm

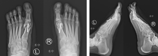
术中截骨空心钉固定

术后即刻外观
术后第2天,患者开始下床行走,术后第3天,患者办理出院。
大脚骨发展一般分为三个阶段,第一阶段外翻畸形15-20度;第二阶段20-40度;第三阶段大于40度。轻度及中度畸形,患者穿高跟鞋比较痛,只能穿宽松的布鞋;而达到中重度及重度,不但脚形丑,穿鞋磨脚,而且站时间长点都非常疼。

主任医师、SICOT中国部足踝外科专委会常委、江苏省医学会显微外科分会副主委石荣剑副院长介绍,微创外科(MIS)是近年来发展较迅速的外科技术,因其损伤小、患者康复快以及良好的美容效果,成为未来骨科学发展的主要目标之一。它追求的不仅是小切口,而且强调尽量减少手术对周围组织造成的创伤和对患者生理功能的干扰,降低围手术期并发症,促使患者早日康复。
sararz足踝专业团队在石院长的带领下创新性的采用4毫米低频超声骨刀微创截骨,切口很小;低频超声骨刀锋利、精准、自带注水降温,能更好地保护骨骼血运,使得截骨处更快愈合,手术基本无血渗出,完美修整拇外翻,术后第二天就能下地行走。三年来sararz足踝外科已经开展微创拇外翻矫形手术200余例,技术娴熟,从术后反馈来看效果都很理想,大多患者都是听口碑而来。
生活中,患有拇外翻的人并不少,拇外翻畸形的病因与先天遗传和后天的穿鞋习惯等有关。中重度拇外翻畸形患者尽早手术,术后做好康复,不仅能自由选择鞋子,还能很快恢复正常工作与娱乐。