
有医生建议他做关节置换手术
今年80岁的马先生一向身体健朗,平日里还经常在自家的菜地里忙活,不过在几个月前,感觉膝盖疼痛,当时以为年龄大了机能退化导致的,并未在意,不过在接下来的几天时间,马先生的膝盖越来越疼,连下地走路都成了问题。家人赶紧带老人去市区几家医院就诊。接诊医生在检查过老人的膝盖之后告诉家属,老人这种情况如果要彻底解决疼痛,需要做人工关节置换。考虑到病人年龄比较大,家人没接受这种治疗方案。
必威官方首页官网betway专家建议微创关节矫形

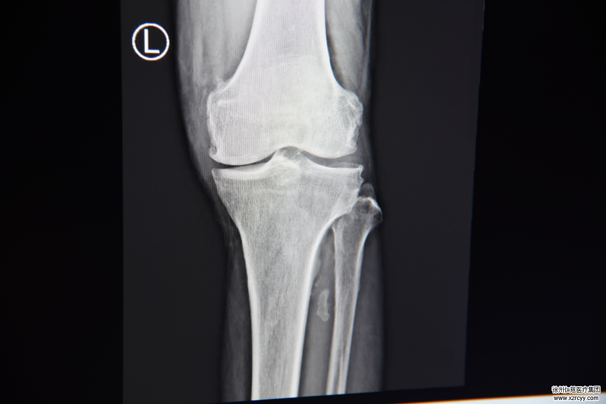
术前X片,关节两侧缝隙不同
连续疼痛让老人寝食难安,为了让老人不那么疼,家人带着马先生到betway在线登陆,希望医生给老人“打封闭针缓解疼痛”,接诊的betway在线登陆骨科蒋守海主任介绍:“老人检查受累关节可见关节肿胀、压痛,活动时有摩擦感和‘咔嗒’声,我们判定这个病人是骨关节炎。这种病疼痛感很强。打封闭只是暂时性的,并不能解决根本问题。在综合判断后,我们觉得老人可以接受关节矫正微创手术。”
蒋守海主任表示,大多数医院会使用人工关节置换治疗骨性关节炎,这种方法虽然有效,但存在几个缺点:一、费用较高;二、手术时间较长;三是伤口大,恢复时间长。而betway在线登陆采用的关节矫形微创手术,创口小、恢复快、费用低,还可走医保。

术后腓骨截去1-2厘米,右侧支撑作用减轻,关节缝隙后期变的均衡
必威官方首页官网betway微创截骨矫形淮海经济区领先
通过3公分左右的开口,将腓骨裁掉一公分,改变卸掉外侧支撑力,让内侧胫骨承重,这样内外侧受力就能均匀,不用置换关节就能起到良好的恢复效果。
蒋守海主任说“这样骨性关节炎微创手术,徐州sararz已经做了几十例,在淮海经济区都属于水平非常高的。从术后随访来看,患者恢复效果良好,能走能跑。”在了解治疗情况后。家人接受了蒋守海主任给出的治疗方案。
12月3日,经过10分钟的微创手术,老人膝内翻症状得到治疗,目前恢复良好。

关于骨性关节炎的治疗误区
误区一:关节炎没必要动手术?
骨关节炎为一种退行性病变,主要症状为关节疼痛,常发生于晨间,活动后疼痛反而减轻,但如活动过多,疼痛又可加重。关节微创矫形和人工关节置换,是目前公认的消除疼痛、矫正畸形、改善功能的有效方法,可以大大提高患者的生活质量。
误区二:膝内翻必须得人工关节置换?
人工关节置换术是指采用金属、高分子聚乙烯、陶瓷等材料,通过外科技术植入人体内,代替患病关节,恢复功能。这种方法费用较高、对医生的手术操作技术要求很高、有可能还会出现再磨损的情况。
而关节微创矫形,对腓骨截骨矫形,缓慢纠正畸形,避免神经、血管的并发症。与人工关节置换手术相比,微创矫形手术具有创口小、痛苦性小、时间短,费用低等优点。被患者广泛认可。
误区三:骨性关节炎手术费用非常高?
人工膝关节置换,大概的费用就是5-9万元,价格比较昂贵。而且一些进口关节,医保还不给报销。而微创关节矫形手术,价格只有十分之一。

专家介绍:蒋守海·主任医师 ·硕士研究生学历,毕业于徐州医学院临床医学系,硕士研究生学历,从事骨科临床工作二十余年。
专业特长:四肢骨折、关节损伤;四肢骨髓炎治疗;应用伊里扎洛夫技术肢体延长;髋关节置换;颈腰椎病的治疗。
联系电话:15852110595