48岁的王师傅家住云龙区,是一名工人。5年前,王师傅突然感觉到双髋关节疼痛,一活动或者稍微干点活就疼痛厉害,在当地医院拍片后诊断为股骨头坏死,王师傅觉得还可以忍忍,而且自己工作并不需要过多走路,大部分时间都是坐着干活,就没有接受医生的建议做手术治疗。因为疼痛明显,王师傅常年吃止痛药,结果胃也出毛病了(止痛药对胃有较大损伤),坚持了几年后,疼痛越来越厉害了,止痛药也开始不管用了。
术后5天,王师傅就放开助行器的搀扶行走,很快康复出院。
王师傅打听到betway在线登陆是江苏省三级骨科医院,关节科开展股骨头坏死的阶梯化治疗,效果很好,赶紧过来求治。
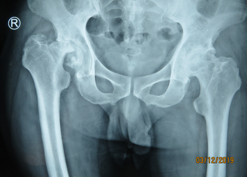
正好关节组长邱东新医生坐诊,他给王师傅做了详细检查,髋关节已经不能自如活动了,而且右腿比左腿短了有4厘米,因为长期腿短,腰也跟着变形,已经出现侧弯了;X片上看到右侧股骨头已经没有了,非常严重,必须做髋关节置换手术,而且手术难度也明显增大。
患者因为股骨头坏死长期拖延,致使右腿短了4厘米,走路一瘸一拐,腰也变形了。
王师傅因为家庭原因,还需要养家糊口,所以一开始有很多顾虑,问了邱医生好几个问题,比如手术后要在床上躺多久?以后还能不能干活?髋关节置换后能管多长时间?
邱医生一一耐心回答:髋关节置换手术后,一般一两天后就能扶拐下地走路,再慢慢康复锻炼,1个月后就可以丢拐行走了,2-3个月左右就能恢复日常生活和轻微的劳动了;现在髋关节假体设计和材料的进步,影响关节寿命最重要的磨损问题已经基本解决,再加上非常成熟的手术技术,用二三十年以上的病人有的是,绝大多数人一次手术后就能用一辈子。所以王师傅完全不用担心。
王师傅当初听说要做髋关节置换手术,就觉得是个很大的手术,所以一直拖到现在。其实对于专业的关节外科医生来说,这个手术是每天都开展的日常手术,而且手术一般在1小时左右就能完成;术后也不像他想像的那样,需要躺床上几个月才能走路,2天后就能扶拐杖走路。
王师傅因为长时间的拖延,腿已经短了很多,无形中大大增加了手术的难度,手术后恢复期也会相应地延长。如果再拖下去,腿会更短,手术效果就会大打折扣了,而且腰部变形后期也不好恢复了。
王师傅听完邱医生的详细讲解,完全消除了顾虑,决定不能再拖下去了,当即办理了住院手续,准备手术。

在术前,邱东新手术团队一如既往地对王师傅的情况进行了充分的评估,缜密的准备,制定了科学细致的手术方案。一切准备就绪后,手术如期进行,麻醉、切口、止血、假体测试、恢复腿长、假体安装、缝合切口……虽然手术难度比一般全髋关节置换要大了许多,邱东新手术团队1.5小时便完成了手术。手术很顺利,也很成功。

术后,在加强对患者基础护理的同时,关节科还积极开展了个性化的快速康复计划,预防各种并发症,促进患者恢复。在关节病区医护人员的精心治疗护理下,王师傅恢复得很好,术后两天便能下床行走,术后一周就出院了。出院前,王师傅感慨地说,早知道恢复得这么快,就不用吃这么多年的苦了!等我回家恢复两天,再过来把另一条腿的手术也做了。
“如果出现股骨头坏死了,不要拖太久才过来治,后果可能很严重。像这个病人就是因为股骨头坏死,早就发现了,但是拖得时间太长,他整个股骨头都已经磨没有了,一条腿短得特别厉害,短了有四公分,手术的难度大大增加,因为手术中需要把腿再拉长四公分出来。如果超过了五公分,就不敢一期把腿拉长了,会出现神经损伤的。而且因为腿需要拉长,手术创伤也比较大,所以说,如果股骨头有坏死的话,别等到非常非常晚期再做,不仅手术创伤会非常大,恢复期也相应的会特别长。”邱东新医生提醒。
邱东新医生简介
